هدف این مقاله ارائه یک راهنمای کامل برای افرادی است که به دنبال بهبود زیبایی دندانها و لبخند خود توسط کامپوزیت ونیر هستند تا بتوانند با اطلاعات کافی، بهترین تصمیم را برای زیبایی دندانها و انتخاب دکتر متخصص اتخاذ کنند.
کامپوزیت ونیر چیست؟
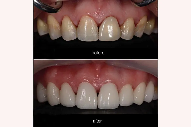
کامپوزیت ونیر یکی از روشهای محبوب دندانپزشکی زیبایی است که برای اصلاح ظاهر دندانها و بهبود طرح لبخند استفاده میشود. مراحل کامپوزیت ونیر در این مقاله بررسی میشود که مهمترین مرحله شامل قرار دادن لایهای نازک از مواد همرنگ دندان روی سطح جلویی دندانها است تا مشکلاتی مانند لکهها، ترکها، فواصل بین دندانی و نامرتبیها را برطرف کند.
مزیت اصلی کامپوزیت ونیر این است که به حداقل تراش دندان نیاز دارد و میتواند در یک یا چند جلسه درمانی نصب شود. این ویژگی باعث شده که این روش به گزینهای کمتهاجمی و سریع برای بیماران تبدیل شود.
مقالات دیگر: کامپوزیت ماکروفیل

کاربردهای کامپوزیت ونیر
کامپوزیت ونیر کاربردهای متعددی در زیبایی و ترمیم دندان دارد:
- اصلاح تغییر رنگهای دائمی دندان
- ترمیم ترکها و لبپرشدگیها
- پر کردن فاصلههای بین دندانی
- اصلاح نامرتبیهای جزئی دندان
- رفع ساییدگی دندانها
- بهبود طرح لبخند و هماهنگی دندانها با صورت
استفاده از کامپوزیت ونیر برای مواردی که تغییرات جزئی در ظاهر دندانها لازم است، بسیار موثر است و نتایج طبیعی و رضایتبخش ارائه میدهد.
مواد تشکیلدهنده کامپوزیت ونیر
مواد اصلی کامپوزیت ونیر شامل رزینهای همرنگ دندان، ذرات سیلیس، شیشه بوروسیلیکات و کوارتز هستند. این ترکیب باعث استحکام، شفافیت و ظاهر طبیعی دندان میشود. کامپوزیتهای مدرن قابلیت پالیش بالا دارند و میتوانند نور را به شکل مشابه مینای طبیعی منعکس کنند.
انواع کامپوزیت ونیر
نانو هیبرید
این نوع کامپوزیت ترکیبی از ذرات نانو و میکرو است و مقاومت و زیبایی بالایی دارد. برای دندانهای جلویی و خلفی قابل استفاده است و فرمدهی آسان دارد.
میکروفیل
این نوع برای اصلاح جزئی ظاهر دندان مناسب است و قابلیت پالیش بالایی دارد، اما مقاومت مکانیکی کمتری نسبت به نانو هیبرید دارد.
یونیورسال
کامپوزیت یونیورسال برای همه سطوح دندانها مناسب است و ترکیبی از مقاومت و زیبایی ارائه میدهد.
فلو یا مایع
کامپوزیت فلو برای پر کردن حفرههای کوچک و روشهای کمتهاجمی کاربرد دارد و کار با آن بسیار آسان است.
بالک فیل
این نوع برای ترمیمهای عمقی مناسب است و عمق کیور بیشتری دارد، انقباض پلیمریزاسیون کمتر و دوام بالاتری ارائه میدهد.
مزایای کامپوزیت ونیر
- سرعت نصب بالا: در بسیاری از موارد، نصب ونیر در یک جلسه انجام میشود.
- نیاز به تراش کم: میزان تراش دندان کم است و ساختار طبیعی دندان حفظ میشود.
- هزینه کمتر: نسبت به لمینتهای سرامیکی مقرونبهصرفه است.
- ترمیم آسان: در صورت آسیب یا لبپر شدن، ترمیم آن ساده است.
- ظاهر طبیعی: شفافیت و بازتاب نور شبیه مینای طبیعی دندان است.
- انعطافپذیری: قابلیت فرمدهی و تطبیق با شکل دندانها را دارد.

معایب کامپوزیت ونیر
- دوام کمتر نسبت به سرامیک: طول عمر کوتاهتر دارد و ممکن است بعد از چند سال نیاز به تعویض پیدا کند.
- حساسیت به رنگ: در صورت مصرف مواد رنگی مانند قهوه، چای یا نوشیدنیهای رنگی، تغییر رنگ پیدا میکند.
- مقاومت کمتر در برابر سایش: در مقایسه با سرامیک و لمینت، مقاومت کمتری دارد.
- محدودیت در اصلاح ناهنجاری شدید: برای مشکلات پیچیدهتر دندان، ممکن است کافی نباشد.
مراحل نصب کامپوزیت ونیر
- معاینه و مشاوره: بررسی وضعیت دندانها و تعیین اهداف درمانی.
- آمادهسازی دندانها: پاکسازی سطح دندان و در صورت نیاز، تراش جزئی برای ایجاد چسبندگی بهتر.
- انتخاب رنگ: استفاده از پالت رنگ برای نزدیکترین تطابق با دندانهای طبیعی.
- اعمال رزین: لایهگذاری رزین و فرمدهی آن روی دندانها.
- پلیمریزاسیون: نوردهی برای سخت شدن رزین.
- پالیش و تکمیل: صاف و صیقل دادن سطح برای جلوه طبیعی و براق.
مراقبتهای پس از نصب
- مسواک زدن منظم و استفاده از نخ دندان
- اجتناب از مصرف مواد رنگی و نوشیدنیهای تیره
- پرهیز از جویدن اشیاء سخت و ناخن
- مراجعه دورهای به دندانپزشک برای بررسی و ترمیم
هزینه کامپوزیت ونیر
هزینه کامپوزیت ونیر به عوامل مختلفی بستگی دارد:
- تعداد دندانهای تحت درمان
- برند مواد استفاده شده
- تجربه و مهارت دندانپزشک
- پیچیدگی مشکلات دندان
به طور معمول، هزینه کمتر از لمینتهای سرامیکی است و گزینهای اقتصادی برای بیماران محسوب میشود.
طول عمر کامپوزیت ونیر
طول عمر کامپوزیت ونیر معمولاً بین ۵ تا ۷ سال است، اما با مراقبت صحیح، این مدت میتواند افزایش یابد. عواملی مانند رعایت بهداشت دهان، اجتناب از مواد رنگی و مراجعه منظم به دندانپزشک تاثیر مستقیم روی ماندگاری دارند.
نکات مهم برای انتخاب دندانپزشک برای کامپوزیت
برای انتخاب دندانپزشک معتبر و متخصص در زمینه کامپوزیت باید عواملی را در تظر بگیرید که در این بخش به بررسی آنها میپردازیم.
- تجربه در نصب کامپوزیت دندان
- استفاده از مواد با کیفیت و برند معتبر
- ارائه مشاوره جامع درباره انتظارات و نتایج درمان
- توانایی فرمدهی و پالیش دقیق برای جلوه طبیعی
نتیجهگیری
کامپوزیت ونیر یکی از محبوبترین و کمتهاجمیترین روشهای دندانپزشکی زیبایی است که با هدف اصلاح ظاهر دندانها و بهبود طرح لبخند به کار میرود.
این روش به دلیل نیاز کم به تراش دندان، سرعت بالای اجرا و هزینه نسبتاً مناسب، برای بسیاری از بیماران گزینه ایدهآلی محسوب میشود. کامپوزیت ونیر قادر است مشکلات ظاهری جزئی مانند لکهها، تغییر رنگ، ترکها، لبپرشدگیها و فاصلههای بین دندانی را به طور مؤثر برطرف کند و در نهایت لبخندی هماهنگ و طبیعی ایجاد نماید.
مزیت مهم دیگر کامپوزیت ونیر، قابلیت ترمیم آسان آن است.
در صورتی که سطح ونیر دچار آسیب یا ساییدگی شود، اصلاح آن نسبت به لمینتهای سرامیکی سریعتر و کمهزینهتر است.
همچنین این روش تنوع رنگ بالایی دارد و دندانپزشک میتواند نزدیکترین رنگ به دندانهای طبیعی بیمار را انتخاب کند، بنابراین نتیجه نهایی بسیار طبیعی به نظر میرسد. با این حال، طول عمر کامپوزیت ونیر معمولاً کمتر از لمینتهای سرامیکی است و حساسیت به تغییر رنگ و سایش جزئی از محدودیتهای آن محسوب میشوند.
رعایت نکات بهداشت دهان، پرهیز از مواد غذایی و نوشیدنیهای رنگی و مراجعه منظم به دندانپزشک نقش مهمی در افزایش دوام این درمان دارد.
در نهایت، کامپوزیت ونیر نه تنها برای اصلاح مشکلات زیبایی جزئی مناسب است، بلکه یک روش مقرونبهصرفه و غیرتهاجمی برای افرادی است که میخواهند بدون تغییرات شدید در ساختار دندان، لبخندی جذاب و طبیعی داشته باشند. انتخاب دندانپزشک ماهر و استفاده از مواد باکیفیت، تضمینکننده نتیجه موفق و رضایتبخش خواهد بود. بنابراین، کامپوزیت ونیر ترکیبی از زیبایی، عملکرد و سهولت اجرا را ارائه میدهد و همچنان یکی از پرطرفدارترین گزینهها در دندانپزشکی زیبایی محسوب میشود.


