ایمپلنت دندان یکی از پیشرفتهترین روشهای جایگزینی دندانهای از دست رفته است که به دلیل دوام بالا و ظاهر طبیعی، محبوبیت زیادی پیدا کرده است. یکی از مهمترین نگرانیهای بیماران، مدت زمان ترمیم بعد از ایمپلنت دندان است.
ترمیم به معنای بهبود بافت لثه و جوش خوردن ایمپلنت به استخوان فک است و نقش کلیدی در موفقیت طولانیمدت ایمپلنت دارد. در این مقاله به بررسی کامل مدت ترمیم، مراحل بهبودی، عوامل موثر و نکات مراقبتی خواهیم پرداخت.
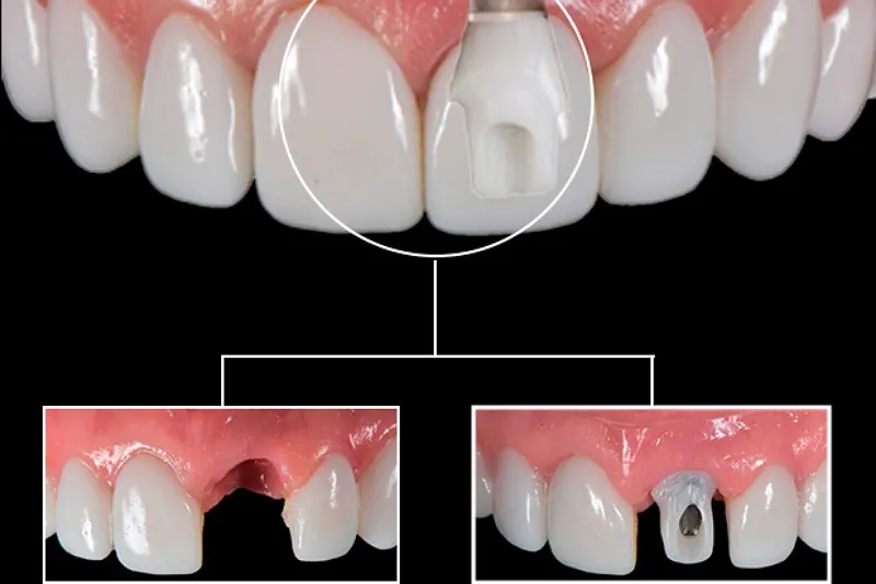
روند ترمیم بعد از ایمپلنت دندان
پس از کاشت ایمپلنت دندان، بدن وارد مرحله التیام اولیه میشود. این مرحله ۷ تا ۱۴ روز طول میکشد و در این مدت بافت لثه اطراف ایمپلنت بهبود مییابد. در این مرحله ممکن است تورم، خونریزی خفیف و درد مختصر مشاهده شود که طبیعی است.
یکی از حیاتیترین مراحل ترمیم، جوش خوردن ایمپلنت با استخوان فک است که به آن “استخوانسازی” یا Osseointegration میگویند. این فرایند ۳ تا ۶ ماه طول میکشد و موفقیت نهایی ایمپلنت بستگی مستقیم به کیفیت استخوان و مراقبتهای بیمار دارد.
پس از تکمیل استخوانسازی و تثبیت ایمپلنت، مرحله بعدی نصب تاج یا پروتز دندان است. این مرحله موجب بازیابی ظاهر و عملکرد دندان میشود. نصب تاج نهایی بعد از ۳ تا ۶ ماه از کاشت ایمپلنت انجام میشود.
مقالات دیگر: بهبود سریع بعد ایمپلنت

عوامل موثر بر مدت ترمیم ایمپلنت دندان
مدت ترمیم ایمپلنت دندان، یعنی زمانی که ایمپلنت با استخوان فک جوش میخورد و بافتهای اطراف لثه بهبود مییابد، تحت تأثیر عوامل مختلفی قرار دارد و مراقبت بعد از ایمپلنت هم در زمان ترمیم ایمپلنت دندان موثر است و میتوانند روند بهبودی را تسریع یا کند کنند.
یکی از مهمترین عوامل کیفیت و تراکم استخوان فک است. استخوان سالم و متراکم امکان جوش خوردن سریعتر ایمپلنت را فراهم میکند، در حالی که استخوان ضعیف یا تحلیل رفته ممکن است نیاز به پیوند استخوان و افزایش زمان ترمیم داشته باشد.
وضعیت سلامت عمومی بیمار نیز عامل مهمی است. بیماریهایی مانند دیابت، مشکلات سیستم ایمنی یا مصرف برخی داروها میتوانند روند ترمیم را طولانی کنند. سن نیز نقش دارد؛ افراد جوان معمولاً ترمیم سریعتری دارند، اما با مراقبت مناسب، بیماران مسن نیز میتوانند به نتایج موفقیتآمیز برسند.
بهداشت دهان و دندان از عوامل کلیدی در موفقیت ایمپلنت است. رعایت دقیق بهداشت شامل مسواک زدن ملایم، استفاده از دهانشویه ضدعفونیکننده و مراجعه منظم به دندانپزشک میتواند خطر عفونت و التهاب را کاهش دهد و روند جوش خوردن ایمپلنت را تسریع کند.
مهارت و تجربه دندانپزشک نیز تأثیر مستقیم دارد. تکنیکهای جراحی دقیق و کمتهاجمی و استفاده از تجهیزات پیشرفته باعث کاهش آسیب به بافتها و تسریع روند ترمیم میشوند. علاوه بر این، نوع ایمپلنت و برند آن میتواند زمان ترمیم را تحت تأثیر قرار دهد؛ برخی ایمپلنتهای پیشرفته با تکنولوژی نوین امکان جوش خوردن سریعتر را دارند.
در نهایت، رعایت نکات مراقبتی پس از کاشت مانند اجتناب از فشار زیاد روی ایمپلنت، پرهیز از غذاهای سفت و رعایت رژیم غذایی مناسب از عوامل مهمی هستند که موفقیت ایمپلنت و مدت زمان ترمیم را بهبود میبخشند. توجه به این عوامل کمک میکند تا ایمپلنت دندان با دوام و پایدار باشد و بیمار تجربه بهبودی سریع و بدون عوارض را داشته باشد.
نکات مراقبتی در دوره ترمیم
استراحت و کاهش فعالیتهای سنگین در روزهای اول پس از کاشت اهمیت دارد. اجتناب از مصرف غذاهای سفت یا چسبناک که ممکن است فشار روی ایمپلنت وارد کنند، ضروری است. رعایت بهداشت دهان شامل مسواک زدن ملایم و استفاده از دهانشویه ضدعفونیکننده کمک زیادی به بهبودی میکند. همچنین عدم مصرف سیگار و الکل میتواند روند ترمیم را تسریع کند.
مراجعه منظم به دندانپزشک برای بررسی وضعیت ایمپلنت و پیشگیری از عوارض احتمالی بسیار مهم است.
مشکلات احتمالی در دوره ترمیم
تورم و التهاب در چند روز اول طبیعی است و با داروهای تجویزی کنترل میشود. در صورت رعایت نکردن بهداشت ممکن است عفونت ایجاد شود که نیازمند درمان فوری است. در موارد نادر، ایمپلنت به خوبی با استخوان جوش نمیخورد و نیاز به جراحی مجدد دارد.
مدت ترمیم بر اساس موقعیت دندان
دندانهای جلو زمان ترمیم کوتاهتری نیاز دارند زیرا فشار کمتری در جویدن به آنها وارد میشود. دندانهای آسیاب و خلفی به دلیل فشار بالاتر ممکن است دوره ترمیم طولانیتری داشته باشند.
روشهای تسریع ترمیم ایمپلنت
ستفاده از پیوند استخوان در صورت نیاز میتواند کیفیت استخوان فک را بهبود دهد. تکنیکهای جراحی کم تهاجمی که آسیب به بافتها را کاهش میدهند نیز موثر هستند. رژیم غذایی غنی از پروتئین و ویتامینها برای تقویت فرآیند بهبودی مفید است. استفاده از دهانشویههای ضدعفونیکننده و داروهای تجویزی برای کاهش خطر عفونت توصیه میشود.

نتیجهگیری
مدت ترمیم بعد از ایمپلنت دندان بسته به عوامل متعددی از جمله کیفیت استخوان، سلامت عمومی بیمار، رعایت بهداشت و تکنیک جراحی متفاوت است. به طور معمول، دوره کامل ترمیم بین ۳ تا ۶ ماه طول میکشد. رعایت نکات مراقبتی و مراجعه منظم به دندانپزشک نقش کلیدی در موفقیت ایمپلنت و جلوگیری از عوارض دارد. با برنامهریزی دقیق و مراقبت مناسب، ایمپلنت میتواند جایگزینی دائمی و طبیعی برای دندانهای از دست رفته باشد.
سوالات متداول (FAQ)
آیا درد بعد از کاشت ایمپلنت طبیعی است؟
بله، کمی درد و تورم در روزهای اولیه طبیعی است و با داروهای تجویزی قابل کنترل میباشد.
چه مدت بعد از ایمپلنت میتوان غذا خورد؟
بعد از چند روز میتوان غذاهای نرم مصرف کرد، اما از غذاهای سفت تا پایان دوره ترمیم باید اجتناب کرد.
آیا سن بر مدت ترمیم تاثیر دارد؟
بله، افراد جوانتر ترمیم سریعتری دارند، اما با مراقبت مناسب، افراد مسن نیز میتوانند موفقیتآمیز ایمپلنت داشته باشند.
آیا میتوان همزمان با ایمپلنت دندان دیگران را کشید؟
در موارد خاص و با مشورت دندانپزشک ممکن است، اما بسته به وضعیت استخوان و لثه، گاهی نیاز به فاصله زمانی است.
چه مراقبتهایی برای تسریع ترمیم ضروری است؟
رعایت بهداشت دهان، مصرف رژیم غذایی مناسب، عدم سیگار کشیدن و مراجعه منظم به دندانپزشک از مهمترین نکات هستند.


