صفحه اصلی > خدمات : کامپوزیت دندان نانوهیبرید

کامپوزیت دندان نانوهیبرید

کامپوزیت دندان نانو هیبرید

در دندانپزشکی مدرن، انتخاب مواد ترمیمی نقش تعیین‌کننده‌ای در موفقیت درمان و رضایت بیماران دارد. نیاز به موادی که هم از نظر استحکام و دوام و هم از نظر زیبایی‌شناسی عملکردی مطلوب داشته باشند، باعث شد که نسل‌های مختلفی از کامپوزیت‌ها تولید شوند. از میکروفیل‌ها گرفته تا میکروهیبریدها، هر کدام تلاش کردند ترکیبی از خواص مکانیکی و ظاهری را ارائه دهند. اما با پیشرفت فناوری نانو، نسل تازه‌ای از کامپوزیت‌ها به میدان آمدند که با نام کامپوزیت نانو هیبرید شناخته می‌شوند. این محصولات توانسته‌اند بسیاری از محدودیت‌های نسل‌های قبلی را برطرف کنند و به گزینه‌ای ایده‌آل برای ترمیم‌های قدامی و خلفی تبدیل شوند. در این مقاله به معرفی کامل کامپوزیت نانو هیبرید، ساختار و ویژگی‌ها، کاربردها، مزایا و معایب، و همچنین مقایسه آن با سایر کامپوزیت‌ها می‌پردازیم تا درک روشنی از جایگاه این ماده در دندانپزشکی امروز به دست آوریم.

کامپوزیت نانو هیبرید چیست؟

کامپوزیت دندان نانو هیبرید ترکیبی از ذرات پرکننده در ابعاد نانو و میکرو است که در یک ماتریس رزینی قرار می‌گیرند. هدف از این ترکیب، دستیابی به تعادلی میان زیبایی و استحکام بوده است. ذرات نانو موجب سطحی صاف و قابلیت پولیش‌پذیری بالا می‌شوند، در حالی که ذرات بزرگ‌تر، مقاومت مکانیکی و دوام بیشتری به ماده می‌بخشند.

به همین دلیل، این نوع کامپوزیت برای استفاده در دندان‌های قدامی (که زیبایی مهم است) و خلفی (که فشار جویدن بالاست) مناسب می‌باشد. در واقع می‌توان گفت نانو هیبریدها تلاش کرده‌اند نقاط قوت میکروفیل‌ها و میکروهیبریدها را در خود جای دهند.

مقالات دیگر: ایمپلنت زایگوماتیک

کامپوزیت نانو هیبرید چیست

ساختار و اجزاء اصلی نانوهیبرید

مهم‌ترین بخش تشکیل‌دهنده کامپوزیت نانو هیبرید، ماتریس رزینی است که معمولاً بر پایه Bis-GMA یا UDMA ساخته می‌شود. این رزین‌ها خاصیت چسبندگی بالایی دارند و امکان ایجاد پیوند محکم با سطح دندان را فراهم می‌کنند. بخش دوم شامل فیلرهای غیرآلی است. ذرات نانو با اندازه کمتر از ۱۰۰ نانومتر و ذرات میکرو در کنار هم قرار گرفته‌اند تا خواص مکانیکی و زیبایی‌شناسی بهینه شود.

درصد حجمی بالای فیلر در این کامپوزیت‌ها، استحکام فشاری و خمشی قابل توجهی ایجاد می‌کند. علاوه بر این، پوشش سطحی ذرات فیلر با عوامل سیلانی باعث بهبود پیوند آن‌ها با ماتریس رزینی و افزایش دوام ماده می‌شود. این طراحی دقیق موجب شده است که نانو هیبریدها بتوانند همزمان پاسخگوی نیازهای زیبایی و عملکردی باشند.

ویژگی‌های مکانیکی کامپوزیت دندان نانوهیبرید

کامپوزیت‌های نانو هیبرید از نظر استحکام مکانیکی در سطح بسیار خوبی قرار دارند. آن‌ها مقاومت بالایی در برابر نیروهای جویدن و سایش دارند و به همین دلیل برای ترمیم دندان‌های خلفی گزینه‌ای مناسب محسوب می‌شوند.

میزان سختی سطحی این کامپوزیت‌ها به اندازه‌ای است که در برابر شکستگی یا ترک خوردگی مقاومت خوبی از خود نشان می‌دهند. همچنین ضریب کشسانی نزدیک به عاج دندان باعث می‌شود نیروهای وارده به‌طور طبیعی توزیع شوند و احتمال شکست کاهش یابد. یکی از نقاط قوت مهم این نوع کامپوزیت، مقاومت در برابر سایش است که موجب افزایش طول عمر ترمیم می‌شود.

ویژگی‌های زیبایی‌شناسی کامپوزیت دندان نانوهیبرید

از آنجا که بیماران امروزی علاوه بر کارکرد، به زیبایی لبخند نیز اهمیت می‌دهند، کامپوزیت نانو هیبرید از این نظر نیز عملکرد فوق‌العاده‌ای دارد. وجود ذرات نانو در ترکیب آن باعث می‌شود سطح نهایی بسیار صاف و قابل پولیش باشد. این ویژگی کمک می‌کند که ترمیم‌ها به‌طور طبیعی با دندان‌های مجاور هماهنگ شوند و جلوه‌ای درخشان داشته باشند.

همچنین طیف گسترده‌ای از رنگ‌ها و شفافیت‌ها در این کامپوزیت‌ها وجود دارد که امکان انتخاب نزدیک‌ترین رنگ به دندان بیمار را فراهم می‌کند. از سوی دیگر، ثبات رنگی بالای این مواد موجب می‌شود در طول زمان کمتر دچار تغییر رنگ شوند و لبخند بیمار برای مدت طولانی جذاب باقی بماند.

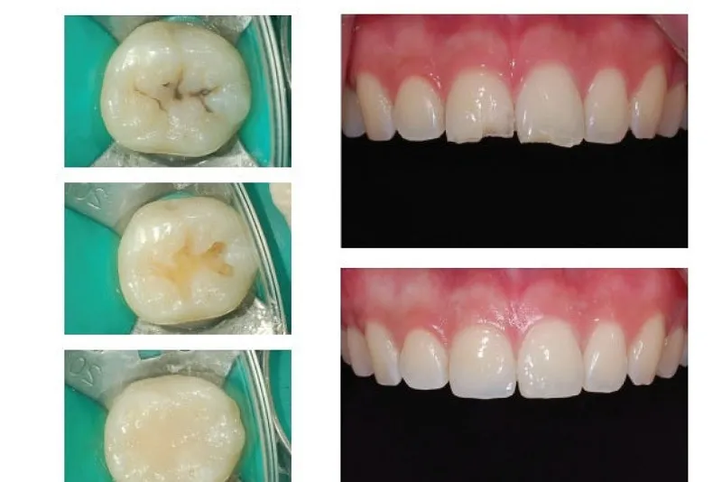
کاربردهای بالینی کامپوزیت دندان نانوهیبرید

کامپوزیت نانو هیبرید در طیف وسیعی از درمان‌های دندانپزشکی کاربرد دارد. در دندان‌های قدامی می‌توان از آن برای ترمیم شکستگی‌ها، پر کردن پوسیدگی‌ها، بازسازی لبه‌های شکسته و حتی طراحی لبخند استفاده کرد. در دندان‌های خلفی نیز به دلیل مقاومت بالا در برابر فشار جویدن، برای پر کردن حفره‌های بزرگ مناسب است.

این نوع کامپوزیت همچنین در ونیرهای مستقیم، اینله و آنله‌های کامپوزیتی، و ترمیم‌های موقت یا بلندمدت کاربرد دارد. دندان‌پزشکان به دلیل هندلینگ آسان و قابلیت شکل‌دهی مطلوب، به راحتی می‌توانند فرم دلخواه را ایجاد کنند.

کاربردهای بالینی کامپوزیت دندان نانوهیبرید

مزایای کامپوزیت دندان نانوهیبرید

یکی از بزرگ‌ترین مزایای کامپوزیت نانو هیبرید، ترکیب بی‌نظیر استحکام و زیبایی است. این محصول قابلیت پولیش‌پذیری بالایی دارد و ظاهر نهایی آن مشابه دندان طبیعی است. از نظر مکانیکی نیز دوام بالایی در برابر فشار و سایش دارد. انقباض پلیمریزاسیون پایین موجب کاهش خطر ترک یا ایجاد فاصله در محل ترمیم می‌شود. علاوه بر این، سهولت کاربری، عدم چسبندگی به ابزار و قابلیت شکل‌دهی دقیق باعث می‌شود که دندان‌پزشکان تجربه کاری راحت‌تری داشته باشند. ثبات رنگ در طول زمان و مقاومت بالا در برابر لکه‌پذیری نیز از دیگر مزایای مهم این نوع کامپوزیت است.

معایب و محدودیت‌های کامپوزیت نانوهیبرید

با وجود تمام مزایا، کامپوزیت نانو هیبرید محدودیت‌هایی نیز دارد. قیمت نسبتاً بالای آن یکی از معایب اصلی است که ممکن است برای برخی بیماران مشکل‌ساز باشد. همچنین این ماده نسبت به تکنیک حساس است؛ یعنی دندان‌پزشک باید دقت بالایی در آماده‌سازی سطح دندان، ایزولاسیون و پخت با نور داشته باشد.

در غیر این صورت، احتمال ایجاد حفره‌های ریز یا شکست ترمیم وجود دارد. علاوه بر این، اگرچه مقاومت رنگی خوبی دارد، اما همچنان در برابر مصرف طولانی‌مدت نوشیدنی‌های رنگی یا دخانیات مستعد تغییر رنگ است.

مقایسه کامپوزیت دندان نانوهیبرید با میکروهیبریدها

برای درک بهتر جایگاه نانو هیبرید، مقایسه آن با میکروهیبریدها ضروری است. میکروهیبریدها سال‌ها به‌عنوان مواد استاندارد ترمیمی شناخته می‌شدند، چرا که ترکیبی از استحکام و زیبایی ارائه می‌دادند. اما محدودیت‌هایی همچون پولیش‌پذیری کمتر و مقاومت رنگی پایین‌تر داشتند. نانو هیبریدها با افزودن ذرات نانو توانستند سطحی صاف‌تر، براق‌تر و با دوام‌تر ارائه دهند.

از نظر مکانیکی نیز عملکرد مشابه یا حتی برتری نسبت به میکروهیبریدها دارند. به همین دلیل امروزه بسیاری از دندان‌پزشکان استفاده از نانو هیبرید را ترجیح می‌دهند.

ثبات رنگ و مقاومت در برابر لکه کامپوزیت دندان نانوهیبرید

یکی از دغدغه‌های بیماران پس از ترمیم دندان، تغییر رنگ و ایجاد لکه بر روی ترمیم است. کامپوزیت‌های نانو هیبرید با طراحی خاص خود ثبات رنگ بالایی دارند و کمتر تحت تأثیر رنگدانه‌های غذایی یا نوشیدنی‌ها قرار می‌گیرند. البته رعایت بهداشت دهان و دندان و اجتناب از مصرف زیاد قهوه، چای یا سیگار همچنان ضروری است. مقاومت بالای این کامپوزیت در برابر تغییر رنگ، آن را به انتخابی محبوب برای بیماران زیبایی‌جو تبدیل کرده است.

طول عمر ترمیم‌ کامپوزیت دندان نانوهیبرید

یکی از معیارهای مهم در انتخاب مواد ترمیمی، طول عمر درمان است. کامپوزیت نانو هیبرید به دلیل استحکام بالا، مقاومت در برابر سایش و انقباض پلیمریزاسیون پایین، طول عمر بیشتری نسبت به بسیاری از کامپوزیت‌های قدیمی‌تر دارد. مطالعات نشان می‌دهد که ترمیم‌های انجام‌شده با این نوع کامپوزیت می‌توانند سال‌ها بدون نیاز به تعویض باقی بمانند، به شرط آنکه بیمار بهداشت دهان خود را رعایت کرده و مراجعات دوره‌ای به دندانپزشک داشته باشد.

نتیجه‌گیری

کامپوزیت نانو هیبرید تحولی بزرگ در دندانپزشکی ترمیمی و زیبایی محسوب می‌شود. این ماده توانسته است با ترکیب ذرات نانو و میکرو، بهترین ویژگی‌های زیبایی و استحکام را در یک محصول واحد ارائه دهد.

از مقاومت مکانیکی بالا و قابلیت پولیش‌پذیری عالی گرفته تا ثبات رنگ و کاربردهای گسترده، همگی نشان می‌دهند که چرا این نوع کامپوزیت به انتخاب اول بسیاری از دندان‌پزشکان و بیماران تبدیل شده است. گرچه قیمت بالاتر و حساسیت تکنیکی از محدودیت‌های آن است، اما مزایای فراوانش باعث شده که جایگاه ویژه‌ای در دندانپزشکی امروز داشته باشد.

تماس با ما
مقالات مرتبط

خدمات دندانپزشکی مجهز تهران

1 خدمات دندانپزشکی مجهز تهران2 خدمات دندانپزشکی ترمیمی2.1 ۱. معاینات دندانپزشکی2.2 ۲. جرم‌گیری…

دندانپزشکی عمومی تهران

1 دندانپزشکی عمومی تهران2 خدمات اصلی دندانپزشکی عمومی تهران3 درمان بیماری‌های دهان…

روکش ایمپلنت چینی جوش خورده با فلز (PFM)

روکش دندان یکی از روش‌های پرکاربرد در دندانپزشکی است که برای محافظت…

سپتامبر 16, 2025

دیدگاهتان را بنویسید